Dr. Esteban Conejo
Especialista en Periodoncia, Medicina Oral e Implantología
Sobre Mi
El Dr. Esteban Conejo realizó su especialidad de Periodoncia y medicina oral en la Universidad El Bosque, en la ciudad de Bogotá, Colombia.
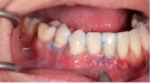
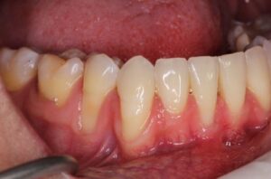
Cuenta con experiencia en planificación y colocación de implantes dentales, elevación del piso del seno maxilar, cirugía plástica periodontal enfocada a procedimientos de tejidos blandos y duros que van dirigidos al aumento gingival, cubrimiento de recesiones gingivales con el uso de diferentes técnicas, corrección de defectos de la mucosa en los implantes, aumentos de coron a, nivelación del margen gingival, eliminación de frenillos sobre insertados y otros tratamientos correspondientes al área periodontal.
Estudios
Título
Licenciatura en Odontología
Universidad Latina de Costa Rica
Énfasis en Odontología General Avanzada
Hospital Nacional de Niños
Especialización en Periodoncia y Medicina Oral
Universidad El Bosque
Certificados
International Team for Implantology
Straumann
Miembro de la Asociación Colombiana de Periodoncia y osteointegración
ACPO
Residencia en Implantología Oral
Implant Practice Builder
PERIODONCIA, MEDICINA ORAL E IMPLANTOLOGÍA





