Dr. Jairo Parra Rivera
Prostodoncista
Sobre Mi
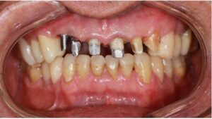
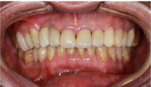
Gracias a mi especialidad en Prostodoncia, cuento con experiencia en la rehabilitación completa en pacientes de alta complejidad, logrando realizar un diagnóstico completo al paciente para realizar un correcto plan de tratamiento en donde se verifique y se estabilice la dimensión vertical, la funcionalidad oclusal, la estética y la identificación y consecuente tratamiento de los trastornos funcionales del sistema masticatorio. Además, cuento con la experiencia clínica y teórica en rehabilitación sobre implante únicos y múltiples, confección de guías quirúrgicas, prótesis emergentes sobre implantes, rehabilitación de prótesis híbridas y sobredentaduras sobre implantes o sobre dientes naturales.
Experiencia en la planificación y realización de diseños de sonrisa, realización de carillas, coronas, resinas de alta estética, prótesis fija en arco cruzado, prótesis totales removibles y prótesis parciales removibles y fabricación de ataches sobre prótesis parciales removibles.
Cuento con experiencia en el manejo digital, familiarizado con el uso de la tecnología CAI – CAD – CAM.
Estudios
Título
Licenciatura en Odontología
Universidad Latina de Costa Rica
Énfasis en Odontología General Avanzada
Hospital Nacional de Niños
Especialista en Prostodoncia
Universidad El Bosque
Certificados
Miembro de la Asociación Colombiana de Prostodoncia
ACP – Colombia
Curso práctico de restauraciones adhesivas estéticas
Universidad de Costa Rica
ODONTOLOGÍA RESTAURATIVA




